Materials
WHAT WE DO
The research work focuses on the design and analysis of sustainable construction materials, as well as the reuse and recycling of construction and demolition waste, and the application of industrial and maritime by-products as aggregates and binders in both laboratory and real-world settings. Additionally, the use of seawater in the production of cementitious materials is evaluated. The durability of materials, as well as the development of low-impact environmental materials, is analysed. The use of photocatalytic materials for cleaning atmospheric pollutants is evaluated, too.
- Analysis of dosages and behaviour of fresh or hardened concrete or mortar (physical and mechanical properties), and durability of conventional and high-strength concrete and mortar,
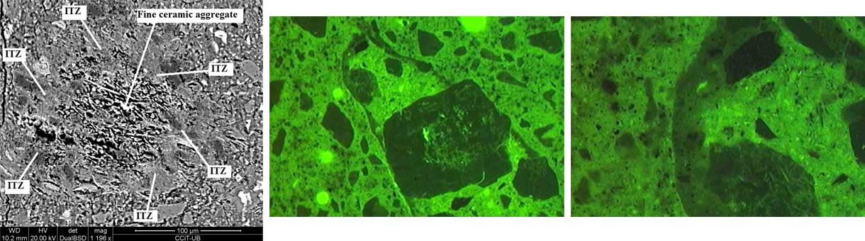
- The use of secondary aggregates from construction and demolition waste, industrial by-products (metallurgical, municipal solid waste, etc.) in construction materials is evaluated.
- The secondary binders such as fly ash, blast furnace slag, volcanic ashes, construction and demolition waste, and other industrial waste are validated as new resources for low-carbon materials.
- Within the line of durability, we have extensive experience in studying the permeability of materials and the degradation processes of concrete due to external and internal agents through experimental models. Ability to analyze the microstructure by optical and electron microscopy, mercury intrusion porosimetry (MIP), analysis of crystallography by X-ray diffraction or compositions by X-ray fluorescence, Raman, thermogravimetric (TGA), etc. The ability to analyze the applicability of the reuse of waste as construction materials using different methodologies.








Share: